English
全部
搜索
图片
视频
短视频
地图
资讯
更多
购物
航班
旅游
笔记本
报告不当内容
请选择下列任一选项。
无关
低俗内容
成人
儿童性侵犯
时长
全部
短(小于 5 分钟)
中(5-20 分钟)
长(大于 20 分钟)
日期
全部
过去 24 小时
过去一周
过去一个月
去年
清晰度
全部
低于 360p
360p 或更高
480p 或更高
720p 或更高
1080p 或更高
源
全部
Dailymotion
Vimeo
Metacafe
Hulu
VEVO
Myspace
MTV
CBS
Fox
CNN
MSN
价格
全部
免费
付费
清除筛选条件
安全搜索:
中等
严格
中等(默认)
关闭
筛选器
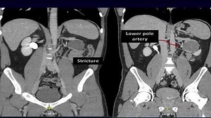
Robotic-assisted pyeloplasty for ureteropelvic junction obstructio
…
已浏览 2752 次
2022年7月7日
csurgeries.com
Robotic Assisted Pyeloplasty • Video • MEDtube.net
已浏览 6363 次
2016年8月2日
medtube.net
10:15
Left Sided Single Incison Robotic Pyeloplasty • Video • MEDtube.net
已浏览 6765 次
2015年1月30日
medtube.net
1:31
Robotic-assisted Pyeloplasty procedure
已浏览 8819 次
2014年6月13日
YouTube
Roper St. Francis Healthcare
1:23
Robot Assisted Pyeloplasty
已浏览 3.3万 次
2016年8月11日
YouTube
Urology Partners
Robotic Salvage Pyeloplasty with Buccal Mucosal Onlay Graft A Sim
…
2020年9月18日
kaltura.com
21:34
Robotic Pyeloplasty by Jonathan Harper, MD
已浏览 3.5万 次
2020年2月28日
YouTube
Seattle Science Foundation
2:38
Robot Assisted Laparoscopic Pyeloplasty performed at Apollo C
…
已浏览 2238 次
2015年8月25日
YouTube
Apollo Hospitals
0:44
Laparoscopic Adult Pyeloplasty - Surgical Training by Laparo
已浏览 3973 次
2024年11月7日
YouTube
LAPARO - Medical Simulators
0:56
Why Choose Robotic Pyeloplasty
已浏览 422 次
11 个月之前
YouTube
Dr. Waheed Zaman Urologist
4:24
Dr. Sean Henderson - Robotic Assisted Laparoscopic Dismembe
…
已浏览 1886 次
2023年3月31日
YouTube
Dr. Sean Henderson - Urology
14:40
Robotic pyeloplasty patient information video - Stepping Hill H
…
已浏览 4853 次
2022年4月10日
YouTube
Stepping Hill Urology
3:58
Pyeloplasty Explained by Dr Shakir Tabrez
已浏览 2.7万 次
2020年1月13日
YouTube
Fortis Bangalore
8:30
How robot assisted surgery works (as explained by a surgeon)
已浏览 10.9万 次
2023年9月23日
YouTube
Max Feinstein
4:51
“Valve-Controlled Intra-Operative Pyeloplasty Stent (VIPs)” - Video a
…
已浏览 4288 次
2020年2月25日
YouTube
Dove Medical Press
1:05
Pyeloplasty
已浏览 8558 次
2016年1月12日
YouTube
Audiopedia
3:26
Robotic Pyeloplasty VS Laparoscopic Pyeloplasty || Dr Vai
…
已浏览 723 次
2024年5月21日
YouTube
Dr. Vaibhav Saxena Urologist
0:37
Robotic assisted pyeloplasty.
已浏览 1018 次
2022年8月9日
YouTube
Mo Mindscape
2:16
da Vinci® Robotic Surgical System
NATIONALLY RATED HOSPITAL
YouTube
Froedtert & the Medical College of Wisconsin
✕
#65 on
Newsweek
World's Best Hospitals 2020 - USA
3:27
Robotic-Assisted Surgery: What to Expect | Europe
已浏览 2612 次
2022年12月21日
YouTube
Intuitive
0:24
Robotic pyeloplasty
已浏览 1924 次
4 个月之前
YouTube
Your health our health (medical profession)
3:16
Robotic-Assisted Surgery | What to Expect
已浏览 1.6万 次
2022年8月15日
YouTube
Intuitive
5:52
Robotic Assisted Surgery: Always Learning | A Freethink Original Vid
…
已浏览 2.3万 次
2022年2月4日
YouTube
Intuitive
49:27
Basic Demonstration of Da Vinci Robot - How Surgical Robot Works?
已浏览 7.7万 次
2019年3月17日
YouTube
Dr. R. K. Mishra
12:40
Demonstration of Da Vinci Robotic Surgery Training Part I
已浏览 1.6万 次
2015年12月28日
YouTube
Dr. R. K. Mishra
1:45
Robotic Assisted Surgery
已浏览 2276 次
2021年6月3日
YouTube
Holy Cross Health
8:13
Robotic-Assisted TKA - Surgeon Insight
已浏览 3093 次
2022年3月3日
YouTube
Zimmer Biomet
20:12
Robotic-Assisted Knee Replacement: Precision Surgery E
…
已浏览 1531 次
2024年10月18日
YouTube
Dr. Apurv Mehra
5:14
Single Port Robotic Access - Low Anterior Approach (LAA) For Retr
…
已浏览 2503 次
2024年5月2日
YouTube
Ketan Badani
4:40
Robotic Low Anterior Resection Patient Positioning and Room Setup
已浏览 3万 次
2018年6月12日
YouTube
Mark Soliman, MD, FACS, FASCRS
观看更多视频
更多类似内容
反馈